STEWART BEGGS
Home Blog Smiles Locations Contact
HomeBlogSmilesLocationsContact
STEWART BEGGS

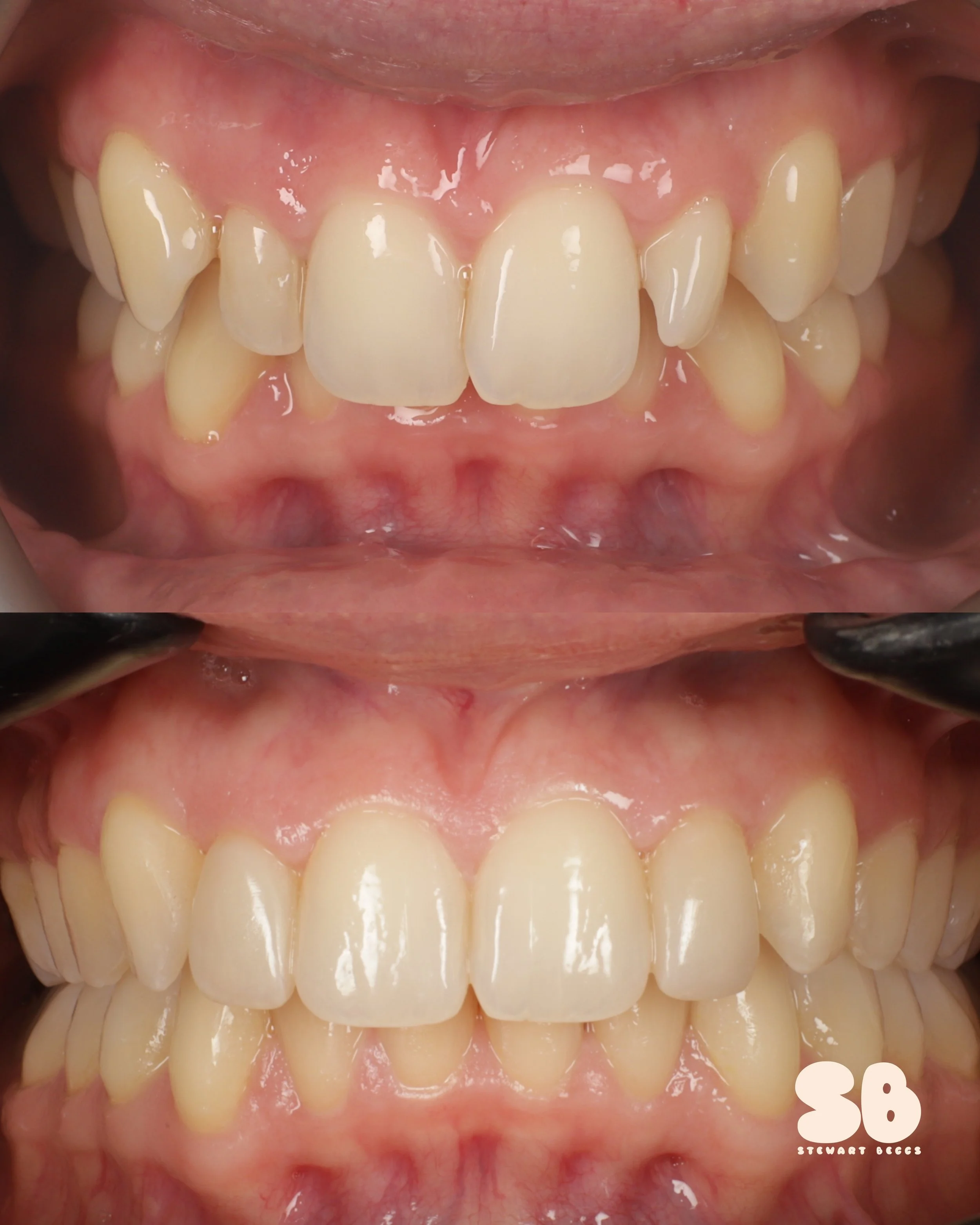
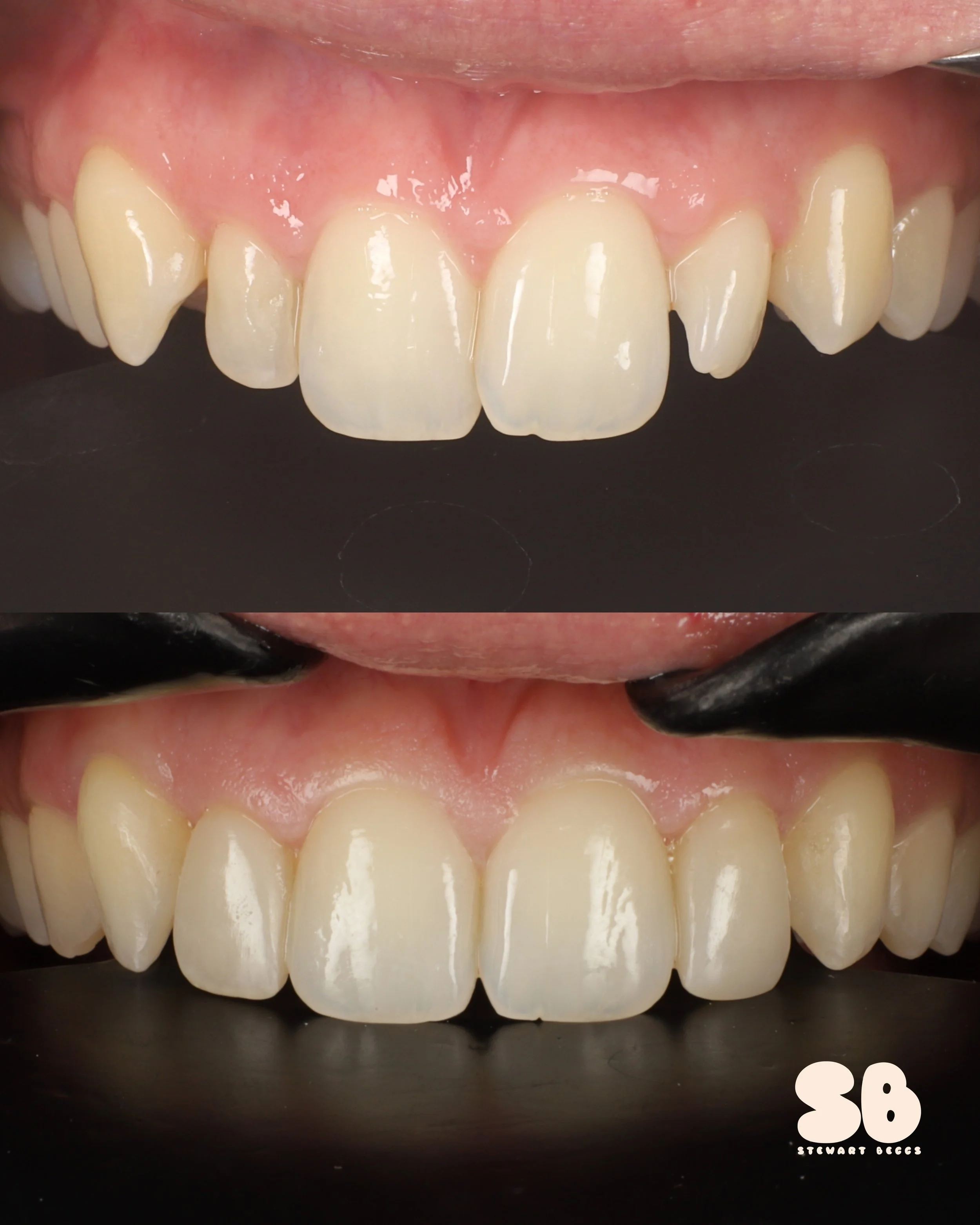
Aligners and Composite Bonding (2 Teeth)

2026-02-09 - collage_2up - eddtr-2.jpg
2026-02-09 - collage_2up - eddtr-3.jpg
2026-02-09 - collage_2up - eddtr-4.jpg
2026-02-09 - collage_2up - eddtr-5.jpg
2026-02-09 - collage_2up - eddtr-6.jpg
Stewart BeggsFebruary 13, 2026
Facebook0 Twitter LinkedIn0 Reddit Tumblr Pinterest0 0 Likes
Next

Fissure Sealant

Stewart BeggsFebruary 13, 2026

HOME | TREATMENTS | SMILES | ABOUT | CONTACT

© 2024 Dr Stewart Beggs. All rights reserved. Last Updated: February 2024

Privacy policy | Cookies | GDC

 

  instagram   |   tiktok |   youtube | email